All on six dental implants in Turkey: The emergence of new techniques in dental implants is more encouraging for patients who think of having implant treatment done.
Patients who are not eligible for classical dental implant techniques will be able to have the new teeth they dreamed of. The all-on-6 dental implants in Turkey is an implant technique that has an undeniable success level for patients who have no teeth or very weak or inadequate jawbones.
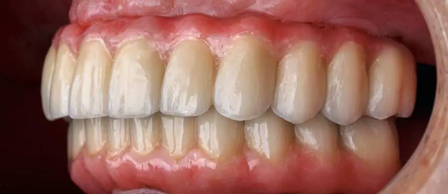
In this technique, the dentist restructures the mouth. The All-on-6 dental implants in Turkey offer a total change and natural-looking teeth.
The all-on-six implant is a kind of full-mouth dental implant. People who do not have teeth can apply this treatment method. This treatment will clearly improve your oral health and help you regain a pearly white smile.
The on-6 dental implants in Turkey replace all teeth with newly designed dental implants suitable for your natural appearance.
What Is All On 6 Dental Implants In Turkey?
The all-on-6 dental implant procedure in Turkey is the best solution for patients with enough jaw bone structure. It creates a permanent prosthesis by using six dental implants, which act as anchors for a bridge or over-denture.
The all-on-6 dental implant technique in Turkey is a variation of the All-on-4 technique based on the same concept, but instead of four implants, it uses six implants placed in areas of the mouth with the highest bone volume.
This treatment is designed for patients with enough bone structure and is an alternative to traditional dental implants because it maximizes bone potential. All-on-6 dental implants are a contemporary tooth restoration technique for eliminating total dementia, which implies placing within the jaw six implants with innovative multi-unit abutments and screw retention.
This intervention avoids the key obstacle associated with tooth implantation bone tissue loss since it can be performed without preliminary bone build-up, sinus lifting, or other osteoplastic manipulations.
What Are The Benefits Of All 6 Dental Implants In Turkey?
- New teeth in as little as one day. Fixed constructions can be placed immediately after the implants are introduced. Moreover, artificial teeth are identical to natural ones in appearance and functionality.
- There is no need to undergo osteoplasty. Implantation takes place in areas with the smallest degree of bone resorption, while titanium pins’ special design allows placement without preliminary dental ridge augmentation.
- Opportunity to perform implantation in the case of total dementia. The All-on 6 dental implants in Turkey protocol is a successful agent solution even in extreme bone atrophy and proximity to the maxillary sinuses. Unique implants are used in particularly complicated cases that get fixed at an angle through the orbital bone and do not affect the auriferous maxillary sinuses.
- It improved system stability. An increased number of abutments compared to the All-on-4 technique improves the construction’s reliability, making it more resistant to various axial loads.
- Superior aesthetic properties. During the implant’s survival period, the patient obtains a temporary metal-framed plastic prosthesis. Thanks to the thoroughly shaped gum line and meticulously selected parameters of the artificial teeth, the smile looks perfect.
- Complete restoration of the chewing function. The patient can start eating food with the new prosthesis as soon as the day of the intervention (it is recommended to load the implants step by step). The overall functionality of the new teeth can be assessed after the implants’ survival.

What is the All-On-6 Dental Implants Treatment Process in Turkey?
The six dental implants in Turkey treatment process begins with an examination and evaluation to determine whether the patient is a good candidate for the surgery. An individual treatment plan is designed to optimize the patient’s oral health before surgery.
This may include tooth extraction, a course of antibiotics, a sinus lift, or another procedure. In many cases, the patient needs no preliminary procedures at all. Preoperative and postoperative instructions are given to the patient to help them prepare for surgery and plan for after-care.
On the day of the All-on-6 dental implant surgery, the implants are placed in the jawbone under local anesthesia, and the temporary prosthesis is attached to them.
For the next several months, while the patient heals, the jawbone grows into and around the implants in a process known as osseointegration.
This process provides a structural and functional connection between the jawbone and the implants, providing strength and stability. Once the treatment area has healed and the osseointegration process is complete (3-6 months), the patient returns for the placement of their permanent prosthesis.
How Long Can All On 6 Dental Implants In Turkey Serve?
Our doctors at the Cayra Clinic in Turkey (in Istanbul and Antalya centers) employ the most advanced dental implantation technologies. In 99% of cases, the implants survive without serious complications. The manufacturers give a lifetime warranty for all their dental implants. Depending on their material and price, the implants’ service time is over 20 years.
How Much Does The All 6 Dental Implants In Turkey Cost?
The price of the surgery varies depending on the case complexity and the materials employed. Despite the profusion of tooth implants in the market, our dentists at Cayra Clinic in Turkey work only with the highest-quality and time-tested materials. The price of such a treatment is absolutely justified by its quality. The price of all-on-6 dental implants in Turkey ranges between 7000 and 12000 euros.
What Happens Before All 6 Dental Implant Procedures in Turkey?
Turkey’s all-on-6 dental implant procedure usually does not require a bone graft, although it may be necessary, depending on the patient’s bone density. Your dentist at Cayra Clinic in Turkey will evaluate and check the mouth before starting the procedure and advise you accordingly. At Cayra Clinic, we offer advanced All-on-6 Dental Implants for a confident smile. Read patient testimonials on our Reviews page to see how we’ve transformed lives.
What Occurs During All On 6 Dental Implants Procedure In Turkey?
Your doctor at Cayra Clinic in Turkey places dental implants into the jawbone while the patient is sedated with a local anesthetic or intravenous sedation. When the implants heal, a temporary prosthesis can be attached to them, giving you a beautiful smile on the same day!
What Should Be Expected After All On 6 Dental Implants Procedure In Turkey?
The mouth will be healing in the first three months of the procedure. The bone and gums will change shape to adapt to the new fixture. During this time, patients should exercise caution when eating hard or very chewy foods. After the implants fuse into the jawline, a permanent solution, such as a dental bridge or removable overdenture, is seated on the implants.
How Soon Will I Recover After The All On 6 Dental Implants In Turkey
It is expected you will feel some discomfort after receiving All six dental implants in Turkey); your implant specialist at Cayra Clinic in Turkey can advise on using over-the-counter painkillers or will give you a prescription for pain medication.
You may need to take antibiotics, and your dentist at Cayra Clinic in Turkey might suggest using an antimicrobial mouth rinse for the first week after surgery.
Your dentist at Cayra Clinic in Turkey will provide lots of information on caring for your six dental implants, including cleaning and eating the best foods for the first few days after implant restoration surgery.
Most patients are able to go to work the next day after the procedure at Cayra Clinic in Turkey. To relieve pain, your tooth specialist at Cayra Clinic in Turkey can recommend over-the-counter medications. The average full-mouth dental implant recovery time is between four and six months. Healing is a complex process that varies from individual to individual.
How Do I Clean All On 6 Dental Implants In Turkey?
To achieve the longevity of your on-6 dental implants in Turkey, you must keep your new teeth clean and free of bacteria and plaque. Bacteria and plaque are generally responsible for implant failure, which can lead to tissue infection. Maintaining proper oral hygiene is crucial.
The list of practical hygiene tips is as follows:
- Brush at least twice a day with a soft-bristled toothbrush
- Floss daily with unwaxed tape or implant-specific floss
- Use a nylon-coated brush to clean hard-to-reach places
- Do not use high-abrasive toothpaste
Are There Any Complications Of All On 6 Dental Implants In Turkey?
Complications can occur with all six dental implants in Turkey, but they are rare, especially when trained and experienced implant dentists perform the procedure.
Complete dental implant risk factors:
- Failure of the implants due to poor oral hygiene
- Failure due to uncontrolled diabetes
- Bruxism or any occlusal trauma could affect the longevity of your artificial teeth
What Is The Success Rate For All 6 Dental Implants In Turkey?
The success rate for this treatment is very high, and all six dental implants in Turkey should last for many years. With the correct care and maintenance employed at Cayra Clinic in Turkey, all six dental implants in Turkey can have a success rate of over 90% after 15 years. Still, it is essential to be aware of factors that can affect the long-term success of this treatment.
For more information about All On 6 Dental Implants. How Much Do All On 6 Dental Implants in Turkey Cost?
Frequently Asked Questions
Who needs All six dental implants in Turkey?
The All-on-6 dental implants in Turkey are recommended for patients with an entire arch of missing teeth. They are also recommended for patients with partially missing teeth who need an arch as a whole dental implant to replace the existing teeth. The all-on-6 dental implants in Turkey process offers a stable, long-term alternative to traditional dentures.
How long do all six dental implant procedures in Turkey take?
The procedure is over in a day and often takes 2-4 hours, depending on the patient. This same-day procedure helps patients return to work the very next day with a beautiful smile!
What is the cost of All six dental implants in Turkey?
In the United States, All-on-6 dental implants cost an average of $24,000 — $31,000 per jaw. This price generally covers all pre-surgical workup, including a cone beam CT scan, the first set of All-on-6, and the final set of All-on-6. But in Turkey, the cost of all-on-6 dental implants in Turkey is not more than 2500 Euros.
How painful are All six dental implants in Turkey?
Before the implant placement, the patient is comfortable with either local or general anesthesia, so the surgery involves little to no discomfort. Once the anesthesia wears off after surgery, there may be some tenderness and swelling. Still, your doctor at Cayra Clinic in Turkey will provide instructions and medications to help alleviate postoperative discomfort. Pain and swelling should subside within ten days.
Why Choose Cayra Clinic In Turkey For My All-On 6 Dental Implants In Turkey?
At Cayra Clinic in Turkey, innovative dental restoration methods are practiced, among which one of the most popular is implantation on six implants. Modern technological equipment, doctors with international experience, and dental materials from leading manufacturers, which we use, can reduce the possibility of complications to a minimum. Cayra Clinic in Turkey has provided high-quality, qualified dental treatment assistance for several years. The interests of patients always come first, so consulting work is initially carried out, and only then are the identified problems treated.
At Cayra Clinic in Turkey, our dentists constantly improve their qualifications and replenish their knowledge base through various activities aimed at increasing their work experience. The medical staff and ordinary dental employees are perfectly selected, which ensures the team’s cohesion and organization. This plays an important role in meeting our customers’ needs. With our clinics situated in Istanbul and Antalya in Turkey, you are guaranteed to have the best experience when you have your all-on-6 dental implants done at Cayra Clinic in Turkey. If you have questions? Feel free to Contact Us to get in touch with our team. For tips and insights on dental implants, explore our Blog.
Relevant Treatments & Blogs: